암 중에서도 가장 생존율이 낮은 무시무시한 암이 있습니다. 바로 췌장암인데요.
췌장암은 조기에 발견하기 어려우며 치료도 힘들고 통증 또한 끔찍합니다.

췌장암의 원인은 아직 정확하게 밝혀진 것은 없지만 최근 스트레스로 인하여 젊은 나이에서도 췌장암 발병 환자들이 계속해서 나오고 있습니다.
그런데 최근 췌장암 환자들에게 공통적으로 나타난 증상이 있다고 하는데요. 바로 입속 질환이 나타났다는 것입니다.
오늘은 췌장암이 보내는 신호인 입속 질환에 대해 알려드리는 시간을 가져보도록 하겠습니다.
노후 준비 지금하지 않으면 늦습니다!

2025년 국민연금 월 평균수령액 60만원
노후에 필요한 최소 생활비 251만원
아직도 국민연금만 믿고 계신가요?
지금부터 준비하지 않으면 정말 늦습니다.
안전한 노후를 위해 지금 바로 무료 상담 받아보세요!
✅ 20대·30대부터 준비하는 스마트한 선택
✅ 부모님 선물용·가족 선물용 추천
🔻안전한 노후 지금 시작하세요!🔻
📢 아래 필수 영양제 건강 정보도 꼭 확인해보세요!
“잇몸에 ‘이것’ 대수롭지 않게 생각하다 췌장암 진단을 받았습니다. 당장 병원에 가보세요” 췌장암 환자들에게 공통적으로 나타난 ‘이것’

우리 입속에는 600~ 700종에 달하는 미생물들이 살고 있는데요. 사람마다 서식하는 박테리아 종류와 구성이 전부 다 다릅니다.
중요한 것은 그 세균들 중에는 췌장암을 일으키는 세균도 있다고 하는데요.
미국 국립암연구소와 미국 암 학회지가 10년 동안 추적해 오면서 14만 명을 조사한 연구에 따르면 입속 치주염을 일으키는 세균이 췌장암과 연관성이 있다고 밝혔습니다.
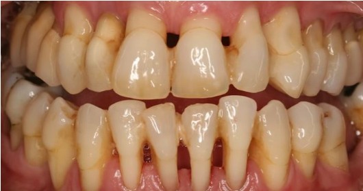
또한 췌장암 환자들이 치주 질환에 취약하고 이가 잘 빠지는 구강 질환이 췌장암의 연관성이 있다고 합니다.

치주염을 일으키는 진지발리스 박테리아가 입 속에 있다면 췌장암을 일으킬 위험성이 60%나 높다고 하는데요.
잇몸에 염증이 있는 사람들은 피가 자주나고 손상된 부위에 세균이 침투해 혈액을 타고 돌다가 췌장의 자리 잡고 이게 췌장암으로 발전될 수 있기 때문에 주의가 필요합니다.
췌장암의 전조증상은 극히 드물지만 복통,소화불량, 식욕/체중 감소, 황달 증상이 낮은 확률로 일어나고 기름진 변을 보거나 회색 변을 본다면 꼭 췌장암 검사를 받으시는 것이 좋습니다.
그런데 입 속 진지발리스 박테리아에 대한 혈중 항체가 높다면 췌장암 위험이 2배나 높아지고 치주 질환을 앓았던 경험이 있는 분들은 췌장암 위험이 64% 더 높아진다는 전문가들의 설명이 있었습니다.

그렇기 때문에 입속 치주 질환은 단순한 구강문제가 아닙니다. 입속 세균이 혈관을 타고 이동하면서 질환을 만들고 치매와 심장질환까지 일으킨다는 연구 결과가 있습니다.
평소에 양치질할 때 피가 자주 나거나 입속에 염증이 있다면 방치하지 마시고 얼른 치료해서 입 속 염증이 생기지 않도록 치아와 잇몸 관리에 신경 써주시는 것이 좋습니다.
이렇게 양치하게되면 이와 잇몸 사이에 끼어있는 여러 가지 음식 찌꺼기를 제대로 제거할 수 있기 때문에 가장 좋은 양치질을 하는 것입니다.
???? 현직 치과 의사가 알려주는 올바른 양치질 하는 방법
스케일링

아무리 이를 잘 닦는다고 해도 플라그는 쌓이기 마련입니다, 정기적인 스케일링은 잇몸 질환 예방에 굉장히 중요하기 때문에 6개월 ~1년에 한 번씩 꼭 받으시길 바랍니다.
유산균 섭취

유산균은 일명 구강 내 유해 세균의 증식을 억제하는 기능이 있습니다. 염증의 빠른 치유를 돕고 췌장암과도 연관이 있는 포피로모나스 진지발리시균을 감소시킵니다.
소금물 양치/가글

소금은 살균력을 가지고 있어 염증을 잡아주는 기능이 있기때문에 적극 추천합니다. 구강청결에 있어 가장 중요한 것은 바로 ‘침’인데요.
입에 침이 마르면 온갖 세균이 입 안에서 번식하기 때문에 입안이 마르지 않도록 물을 보충해주면서 충분한 수분을 자주 공급해주시는 게 중요합니다.
다음 글도 함께 읽어보세요!