요즘 세상은 의술이 발달해 질병을 치료하는 수준이 놀랍게 발전했지만 아직까지도 치료가 어려운 암이 있습니다.

그것이 바로 췌장암입니다. 췌장암은 가공할 통증과 함께 5년 생존율이 10% 정도로 무서운 암입니다.
그래서 췌장암에 걸리면 살릴 수 없다 예후가 좋지 않다 췌장암 걸리면 다 죽는다 라는 말까지 생겨나기도 했습니다.
하지만조기에 발견만 되면 얼마든지 치료할 수 있습니다.
우리 주변을 돌아보면 췌장암으로 세상을 떠나는 안타까운 일을 종종 접하게 되는데 유명인들도 예외는 없습니다.

월드컵 유상철 감독이 췌장암으로 세상을 떠나서 팬들의 가슴을 아프게 했을 뿐만 아니라 그 유명한 스티브 잡스도 췌장암 앞에선 속수무책으로 무너지고 말았습니다.

세상엔 돈이 없어서 치료를 못 받고 세상을 뜨는 사람도 많지만 스티브 잡스는 그 많은 돈이 있어도 건강을 회복하는 데는 그 돈이 도움을 주지 못했습니다.
췌장암은 고통 없이 진행되고 있다가 나중에 큰 고통을 준다고 알려져 있어서 더 무섭습니다.
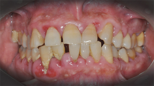
우리의 입속에는 600~700종에 달하는 미생물이 살고 있는데요.

사람마다 서식하는 박테리아 종류와 구성이 다 다릅니다. 중요한 것은 그 세균들 중에는 췌장암을 일으키는 세균이 있습니다.
미국 국립 암연구소와 미국 암 학회지가 10년동안 추적해오면서 14만명을 조사한 자료에 따르면 입 속 치주염을 일으키는 세균이 췌장암과 연관성이 있다고 발표했습니다.

또한 과학 전문매체 유레카 얼러트에 따르면 췌장암 환자들이 치주 질환에 취약하고 이가 잘 빠지는 구강 건강과 췌장암의 관계를 시사하는 연구는 기존에도 있었다고 합니다.
치주염 진지발리스 박테리아가 입 속에 있다면 췌장암 발생 위험율을 59% 높인다고 합니다.
잇몸에 염증이나 피가 나는 사람은 염증에 세균이 침투해 혈액을 타고 이동하고 췌장에 도달하게 되면 췌장암으로 변질됩니다.
췌장암은 조기 발견이 10%미만으로 낮지만 췌장암의 흔한 증상으로 복통 소화불량 식욕감소 황달 그리고 50대 이후에 갑자기 나타나는 당뇨 기름진 변을 보거나 회색변 등의 증상을 보인다고 합니다.

입 속 세균인 진지발리스 혈중 항체가 높다면 췌장암 위험이 2배가 증가하며 치주질환을 앓았던 경험이 있는 사람은 췌장암 위험이 64% 증가한다고 합니다.
그래서 입속 치주 질환은 단순 구강 문제가 아니며 치주질환의 직접적 원인이 구강내 세균이며 그 세균으로 인해 췌장암 위험이 높아집니다.
그렇기 때문에 입속을 어떻게 관리하느냐가 췌장암 예방에 가장 중요한 방법이 됩니다. 양치할 때 피가 자주 나거나 입속에 염증이 있다면 방치하지 말고 얼른 치료를 해야 합니다.
늘 입속에 염증이 생기지 않도록 치아와 잇몸 관리에 신경을 써야 합니다.

입 속세균이 혈관을 타고 이동하면서 몸속 질환을 유발하고 치매와 심장질환까지 발생시킬 수 있기 때문에 입 속 염증 세균이 무섭습니다.

췌장암에 좋은 식품은 마늘입니다. 마늘은 항암식품으로 널리 알려져 있습니다. 마늘에 췌장암을 예방해 주는 효능이 있습니다.
마늘에는 아르기닌, 황. 플라보노이드, 올리고당류 이런 우리 몸을 이롭게 하는 성분이 아주 많이 함유되어 있습니다.
이성분들이 췌장 조직에 이롭게 작용해 췌장을 건강하게 해줍니다. 뿐만 아니라 마늘에 함유된 아르기닌 성분은 성장호르몬 분비를 촉진해 췌장 건강에 큰 도움을 주는 성분입니다.

마늘은 구운 흑마늘도 꾸준하게 섭취할 수 있어서 좋지만 마늘 장아찌로 먹는 것도 좋습니다. 췌장암을 예방하기 위해 식사 때마다 마늘 2~3쪽을 꾸준히 섭취하는게 좋습니다.
노후 준비 지금하지 않으면 늦습니다!

2025년 국민연금 월 평균수령액 60만원
노후에 필요한 최소 생활비 251만원
아직도 국민연금만 믿고 계신가요?
지금부터 준비하지 않으면 정말 늦습니다.
안전한 노후를 위해 지금 바로 무료 상담 받아보세요!
✅ 20대·30대부터 준비하는 스마트한 선택
✅ 부모님 선물용·가족 선물용 추천
🔻안전한 노후 지금 시작하세요!🔻
📢 아래 필수 영양제 건강 정보도 꼭 확인해보세요!
출처 : 조여사전성시대
해당 영상은 아래 유튜브 바로가기 링크를 통해 자세히 시청하실 수 있습니다.
